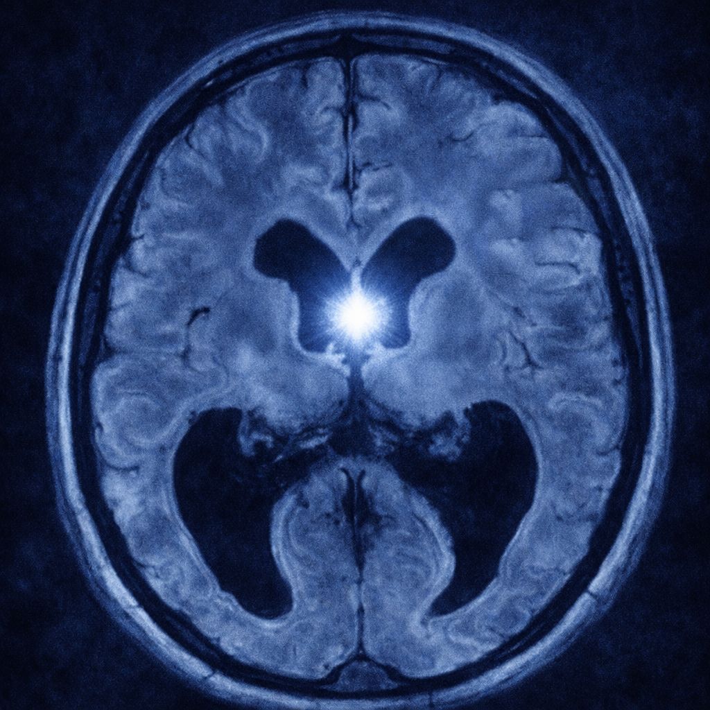
Quiste coloide

El quiste coloide es una lesión benigna que se forma en el cerebro, específicamente en el tercer ventrículo, una cavidad que contiene líquido cefalorraquídeo (LCR). Está compuesto por una cápsula fina que rodea un material gelatinoso llamado coloide. Aunque es una condición poco frecuente, puede causar síntomas graves si bloquea el flujo normal del LCR, lo que provoca hidrocefalia y aumento de la presión intracraneal. En la mayoría de los casos, el quiste coloide se detecta en adultos jóvenes y suele crecer lentamente.

Causas

Los quistes coloides son lesiones congénitas, es decir, se originan durante el desarrollo embrionario por restos celulares de la notocorda o tejido ependimario. Aunque están presentes desde el nacimiento, generalmente no causan síntomas hasta la adolescencia o la edad adulta. No se relacionan con factores hereditarios ni con el estilo de vida, y su aparición se considera aleatoria.

Síntomas

En muchos casos, los quistes coloides son asintomáticos y se detectan de forma incidental en estudios de imagen. Sin embargo, cuando crecen y bloquean el flujo del LCR, pueden provocar:

  • Dolores de cabeza persistentes que pueden variar en intensidad.
  • Náuseas y vómitos.
  • Alteraciones visuales, como la doble visión o la visión borrosa.
  • Problemas de memoria y concentración.
  • Dificultad para caminar (apraxia de la marcha) y pérdida del equilibrio.
  • En casos graves, pérdida de conciencia o muerte súbita por hidrocefalia aguda.

Estos síntomas se deben al aumento de la presión intracraneal y pueden aparecer de forma intermitente o progresiva.

Diagnóstico

El diagnóstico se realiza mediante estudios de imagen:

  • Resonancia magnética (RM): permite visualizar el tamaño, ubicación y características del quiste.
  • Tomografía computarizada (TC): útil para evaluar la densidad y descartar otras lesiones. En algunos casos, se complementa con pruebas neurológicas para valorar el impacto en la función cerebral.

Tratamiento

El manejo depende del tamaño del quiste y la presencia de síntomas:

  • Observación. En quistes pequeños y asintomáticos, se recomienda seguimiento periódico con resonancia magnética.

  • Cirugía. Indicada cuando el quiste causa síntomas o riesgo de obstrucción grave. Las técnicas más utilizadas son:
    • Resección endoscópica: mínimamente invasiva, a través de una pequeña apertura en el cráneo.
    • Craneotomía: en casos complejos o quistes grandes. Estas intervenciones buscan eliminar el quiste y restaurar el flujo normal del LCR. El pronóstico suele ser favorable, aunque se requiere seguimiento para prevenir recurrencias.

Para más información sobre los tratamientos, ponte en contacto con nosotros y continúa leyendo aquí.

Referencias

Haz una

Cita