Meningioma

Los meningiomas son tumores generalmente benignos que se originan en una de las capas que forman las meninges y representan el 30% de los tumores primarios del sistema nervioso.

Son más frecuentes en mujeres durante la mediana edad, con una relación de 3:2 a 2:1 con los hombres. Se cree que esto es resultado de los receptores hormonales (de progesterona), aunque es un tema que continúa en estudio. Los meningiomas atípicos o cancerosos, aunque son poco frecuentes, tienden a tener una relación 1:1 entre hombres y mujeres.

Causas

Los meningiomas, por lo general, no son hereditarios, pero sí existen factores de riesgo y alteraciones genéticas que pueden producirlos.

Dentro de los factores de riesgo se encuentran:

  • Sexo femenino. Los meningiomas no cancerosos son más frecuentes en mujeres en una relación 2:1, por lo que se ha considerado que estos tumores pueden originarse o crecer ante la exposición a hormonas femeninas (progesterona).
  • Exposición a radiación. Se ha establecido el riesgo de que se formen meningiomas después de un tratamiento de radioterapia, a estos se les conoce como meningiomas radioinducidos.
  • Alteraciones genéticas. La neurofibromatosis tipo 2 es causada por una mutación en el cromosoma 22, que provoca la formación de meningiomas, schwannomas y otros tumores cerebrales.
  • Se ha documentado la asociación entre meningiomas en pacientes con índice de masa corporal elevado.

Síntomas

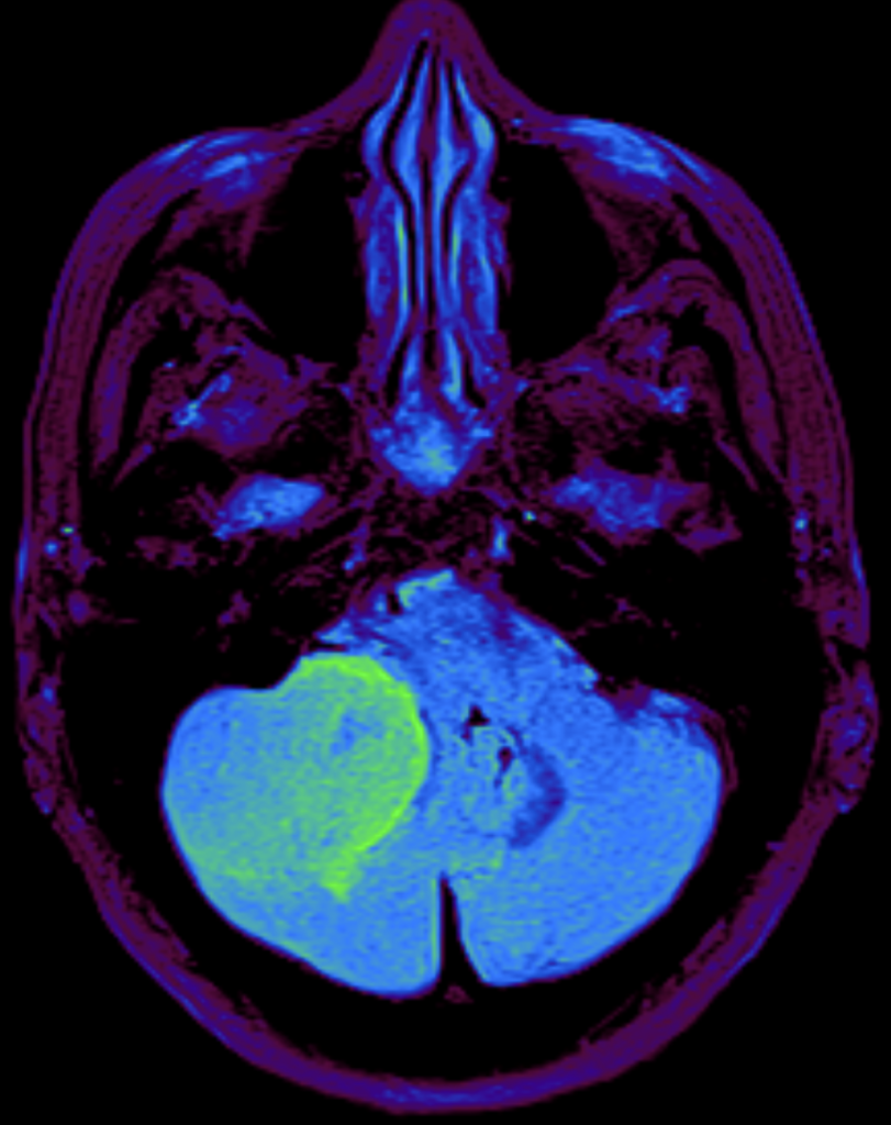
Por lo general, los meningiomas tienen un crecimiento lento, durante meses o años, hasta que el paciente es diagnosticado. Por ello, es frecuente que los pacientes no tengan síntomas hasta que el crecimiento del tumor es tal que produce desplazamiento de las estructuras normales.

Los síntomas varían de acuerdo con la localización del tumor, los más frecuentes son:

  • Dolor de cabeza.
  • Náuseas o vómitos.
  • Debilidad en la mitad del cuerpo.
  • Pérdida de la visión.
  • Visión doble.
  • Alteración de la olfacción.
  • Dolor o parálisis facial.
  • Problemas para la deglución.
  • Alteraciones conductuales o de la memoria.

Testimonio de paciente postoperada de meningioma muy complejo

Publicaciones

Diego Mendez Rosito, MD., Jonathan A. Forbes, MD.
Process: 2-Dimensional Operative Video URL Operative Neurosurgery, Volume 18, Issue 2, February 2020.
David Gallardo-Ceja, MD, Thalia E Sanchez-Correa, MD, Diego Mendez-Rosito, MD.
Operative Neurosurgery, 24 September 2019.

Haz una

Cita