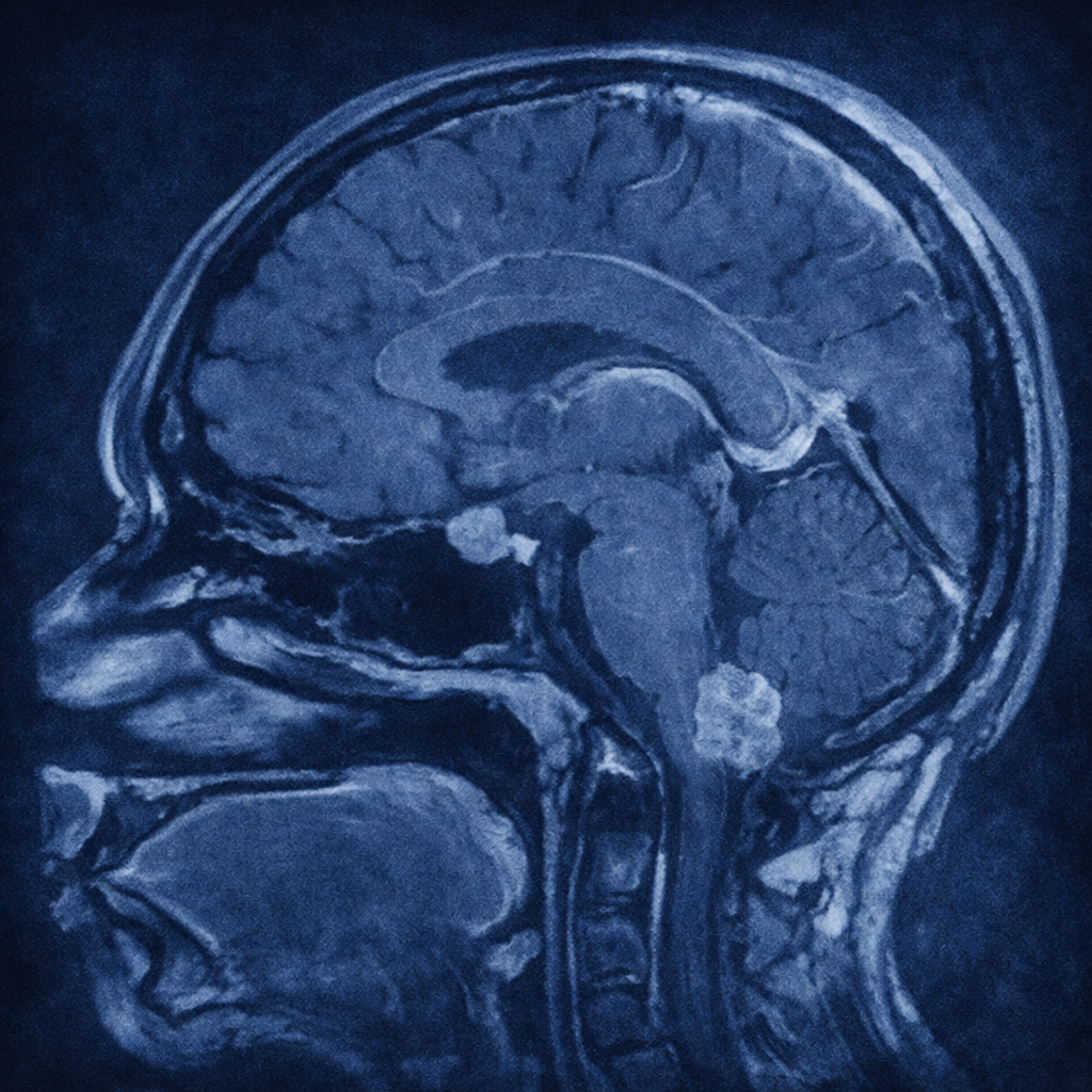
Meduloblastoma
Los tumores embrionarios y los meduloblastomas son los tumores cerebrales sólidos más frecuentes en niños. Estos tumores son agresivos, se originan generalmente en el techo del cuarto ventrículo y forman el 40% de los tumores de la fosa posterior.
Estos se presentan como tumores sólidos que, por su localización, frecuentemente causan obstrucción del flujo de líquido cefalorraquídeo, producen hidrocefalia y ponen en riesgo la vida del paciente muchas veces desde su diagnóstico.

Síntomas
Según la localización del tumor, serán los síntomas del paciente. Frecuentemente se encuentran localizados en el interior del 4.° ventrículo, por lo que producen hidrocefalia y causan:
- Dolores de cabeza.
- Nausea.
- Vómitos.
- Problemas de equilibrio.
- Adormecimiento.
Diagnóstico
El estudio inicial para el diagnóstico de estos tumores es la resonancia magnética cerebral con gadolinio o medio de contraste. En este estudio se identifica normalmente un tumor en el interior del 4.° ventrículo, que se origina en el techo del mismo. Debido a su localización, es frecuente encontrar hidrocefalia por la obstrucción del flujo del líquido cefalorraquídeo. La resonancia es un estudio muy importante para evaluar la diseminación tumoral por el líquido cefalorraquídeo, puesto que encuentra “siembras” tumorales a distancia.
El estudio del líquido cefalorraquídeo puede ser complemento a la resonancia magnética para estudiar la presencia de células tumorales en el líquido.
El diagnóstico definitivo de estos tumores únicamente se puede hacer mediante un estudio de patología y análisis molecular, el cual será de gran utilidad para poder establecer el tratamiento.
Tratamiento
Cirugía
El tratamiento principal de estos tumores es la cirugía. Este procedimiento permite la extirpación del tumor y a su vez liberar el flujo del líquido cefalorraquídeo, previniendo la hidrocefalia.
Quimioterapia o “quimio”
La quimioterapia es administrada por un especialista o neurooncólogo. El uso de agentes biológicos quimioterapéuticos permite que las células tumorales sean radiosensibles para el tratamiento complementario con radioterapia.
Radioterapia
La radioterapia funciona con la aplicación muy precisa de altas dosis de radiación directamente en el tumor. Esta radiación se aplica por medio de múltiples haces que convergen en un punto muy preciso al delimitar el tumor.
Esta radiación actúa a nivel de DNA de las células tumorales alterándolas para prevenir que se continúen replicando de manera anormal.
Existen dos modalidades generales para el tratamiento en estos pacientes:
- Radioterapia: consiste en establecer una dosis, la cual se divide en múltiples sesiones. Por lo general, la dosis total se reparte en aproximadamente 28 sesiones y se aplica a diario, gradualmente, durante casi un mes. Esta técnica se usa, generalmente, cuando los volúmenes del tumor son relativamente elevados.
- Radiocirugía: aquí se establece una única dosis, la cual se da en una dosis única o en pocas fracciones. Esta técnica se aplica usando un Acelerador Lineal (LINAC), Gamma Knife o Bomba de Protones. Para ser candidato a esta técnica, el volumen o tamaño de la lesión debe ser pequeño, además de no estar en íntimo contacto con estructuras vitales (por ejemplo, el nervio óptico o el tallo cerebral).
La radioterapia es aplicada por un equipo de especialistas, formado por un neurocirujano especialista en radioterapia o por un radiooncólogo, así como físicos médicos quienes, en conjunto, analizan el objetivo y evalúan la mejor alternativa de tratamiento.
Haz una
Cita
