Enfermedad de Cushing
La enfermedad de Cushing es una afección que ocurre cuando el organismo produce cantidades excesivas de cortisol, una hormona esencial para regular el metabolismo y la respuesta al estrés físico y emocional. Este exceso suele deberse a un adenoma de la hipófisis, que estimula la producción de cortisol por las glándulas suprarrenales.
Puede afectar gravemente la salud si no se trata a tiempo, por lo que esta enfermedad requiere un tratamiento multidisciplinario a la brevedad.

Causas
Las causas más frecuentes son:
- Adenoma hipofisario (enfermedad de Cushing, propiamente dicha).
Otras causas de hipercortisolismo:
- Uso prolongado de medicamentos con corticoides.
- Tumores suprarrenales que producen cortisol.
- Tumores en otras partes del cuerpo que secretan ACTH (síndrome de Cushing ectópico).
Síntomas
Los síntomas se desarrollan de forma gradual y pueden incluir:
- Cambios físicos. Aumento de peso en cara, cuello y abdomen, cara redondeada (“cara de luna llena”), acumulación de grasa entre los hombros (“giba de búfalo”), piel fina con estrías violáceas y aparición fácil de hematomas.
- Alteraciones metabólicas. Hipertensión, niveles altos de azúcar en sangre (diabetes), osteoporosis.
- Debilidad muscular, fatiga, cambios de humor como ansiedad o depresión.
Diagnóstico
El diagnóstico requiere pruebas especializadas por un protocolo a cargo de un endocrinólogo especializado:
- Análisis de sangre, orina y saliva para medir niveles de cortisol y ACTH.
- Pruebas de supresión con dexametasona para confirmar si la causa es central (en la hipófisis – enfermedad de Cushing) o periférica (síndrome de Cushing).
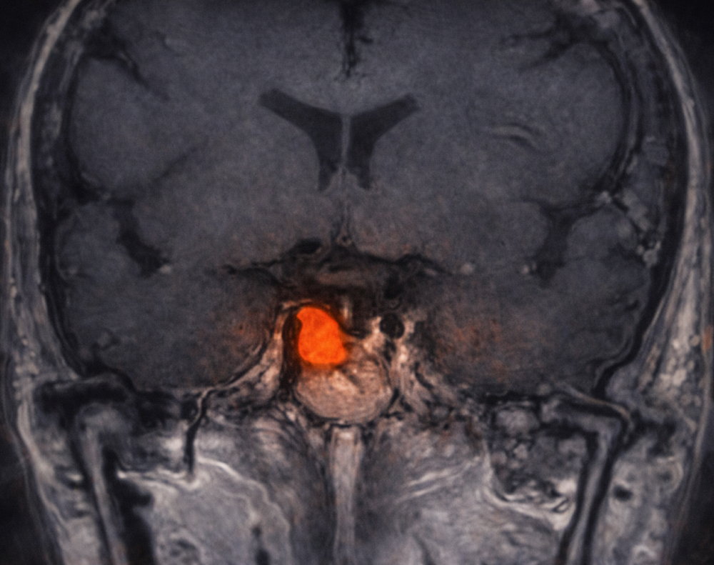
- Resonancia magnética para localizar tumores en la hipófisis (en el caso de enfermedad de Cushing).
Tratamiento
El objetivo es reducir el exceso de cortisol. Las opciones incluyen:
- Cirugía para extirpar el adenoma hipofisario productor de ACTH.
- Medicamentos que bloquean la producción de cortisol cuando la cirugía no es posible.
- La radiocirugía se utiliza como complemento del tratamiento tras la cirugía, cuando no se logra la curación bioquímica con la cirugía. Es importante comprender que la radiocirugía puede tardar cerca de tres años en hacer efecto.
Por estos motivos, el tratamiento de los pacientes con enfermedad de Cushing requiere de un manejo multidisciplinario y se recomienda sesionar los casos con un equipo especializado, para determinar el momento oportuno para cada uno de los tratamientos.
Referencias
- Mayo Clinic. (2023). Síndrome de Cushing – Diagnóstico y tratamiento. Recuperado de https://www.mayoclinic.org
- Medicover Hospitals. (2024). Enfermedad de Cushing: causas, síntomas y tratamiento. Recuperado de https://www.medicoverhospitals.in
- Pituitary Society. (2024). Síndrome y enfermedad de Cushing: información para pacientes. Recuperado de https://pituitarysociety.org
- Clínica Universidad de Navarra. (2024). Síndrome de Cushing: síntomas, diagnóstico y tratamiento. Recuperado de https://www.cun.es
Haz una
Cita
